Sutter Medical Center, Sacramento (SMCS) has reached a milestone that places it among the nation’s most advanced heart and vascular imaging programs, earning Intersocietal Accreditation Commission (IAC) Perioperative Transesophageal Echocardiography Accreditation—and making it only the sixth program in the United States to receive this distinction.
“This recognition is a testament to what makes SMCS exceptional,” said Dr. Michael Pham, chair of Sutter’s Advanced Heart & Vascular Service Line. “Each team member plays a role in providing patients a seamless, coordinated experience. I’m proud our service line fosters collaboration that delivers cutting-edge care focused on patient safety and improved outcomes.”
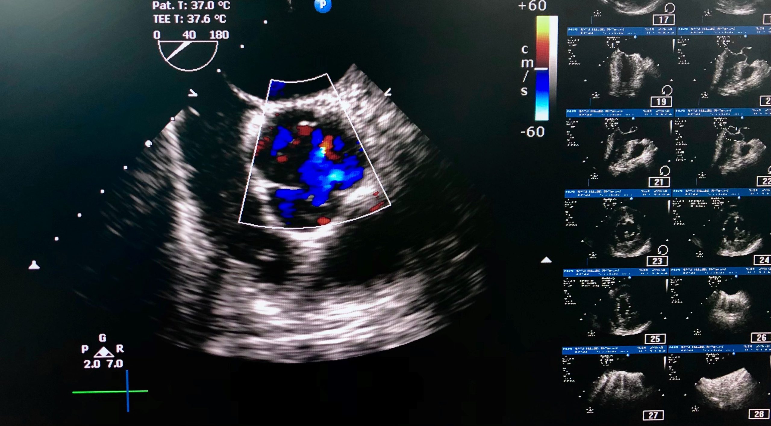
A transesophageal echocardiogram (TEE) uses ultrasound to capture detailed images of the heart from inside the body, unlike a standard echocardiogram performed on the chest. TEE is often used during surgery to guide the procedure and immediately assess heart function.
The accreditation from the IAC acknowledges SMCS for meeting rigorous standards in heart imaging during surgery, a critical component of cardiac procedures. For patients, this means care guided by the highest national quality standards.
Dr. Amardeep Heyer, director of cardiac anesthesia at SMCS, emphasized the significance of this accreditation, which highlights interdisciplinary coordination and world-class cardiac care.
“The cardiac anesthesiology team collaborates closely with our cardiac surgeons and cardiologists to acquire and interpret real-time transesophageal echocardiographic images throughout surgery,” he said. “This advanced imaging allows us to identify structural or functional issues that may not have been visible before the procedure, assess how well the heart responds and confirm everything is working properly before we finish. If we detect any problems, such as valve issues or blood flow concerns, we can address them immediately, reducing the risk of complications and supporting better long-term outcomes for our patients.”
Reflecting Sutter’s Commitment to Top-Tier Heart & Vascular Care
This recognition builds on SMCS’s reputation as a leader in cardiovascular care. The hospital was recently recertified as a Comprehensive Cardiac Center by The Joint Commission and the American Heart Association. Only three hospitals in Northern California hold this top honor, two of which are Sutter facilities, including SMCS. The hospital is also home to the region’s most comprehensive cardiac program and the only heart transplant program in Northern California outside the Bay Area.
With a history of pioneering “firsts” dating back to 1957—including the region’s first open-heart surgery, pediatric heart surgery and heart transplant—SMCS continues to lead the way in innovative heart and vascular care.
“Being sixth in the U.S. isn’t just impressive—it’s historic for our organization,” said Ashley Gesme-Lambert, manager of non-invasive cardiology at SMCS and a cardiac sonographer by training. “More importantly, it reflects the kind of program we are—one built on collaboration, technical excellence and a shared commitment to our patients during the most critical moments of their heart and vascular care.”
For a complete list of the premier heart and vascular services Sutter offers, visit: https://www.sutterhealth.org/services/heart-and-vascular.





