Vitals by Sutter Health
  • Spotlight
    • Access to Care
    • Community Health
    • Digital Health
    • Integrated Network
    • Our Teams In Action
    • Patient Stories
    • Quality Care
    • Research & Clinical Trials
  • Health Topics
    • Bone, Joint & Spine
    • Brain & Neurology
    • Cancer Care
    • COVID-19
    • Diet & Fitness
    • Heart & Vascular
    • Kidney & Urinary
    • Mental Health & Addiction
    • Pediatric Care
    • Pregnancy & Childbirth
    • Primary Care
    • Pulmonary & Lung Health
    • Wellness & Integrative Health
  • News & Media
    • Press Releases & Statements
    • Awards & Recognitions
    • Service Line Fact Sheets
    • Resources for Journalists
  • Who We Are
    • Our Story
    • Awards
    • Annual Report
  • Subscribe

Employee Reviews Land Sutter Health on Forbes’ List of America’s Best Large Employers

Sutter Health among Forbes' America's Best Large Employers 2026

Sutter Health’s Commitment to Exceptional Care Earns Five ‘America’s Best’ Honors

Maternity Care at Sutter Recognized for Quality

Sutter Hospitals Recognized Nationally and Statewide for Maternity Care

Sutter Earns Top Honors for Orthopedic Care

Woman holding ankle on steps after exercise

Sutter Neuroscience Program Tops U.S. Rankings

Sutter Physician Organizations Honored for Quality Care

Sutter Medical Groups Earn IHA Top Quality Award

Sutter CEO Earns Fourth Consecutive Spot on Modern Healthcare’s 100 Most Influential List

Warner Thomas, Modern Healthcare 100 Most Influential People 2025

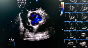
Sutter Health Earns Top Heart Imaging Accreditation

Transesophageal echocardiogram (TEE) shown normal Aortic valve (AV) opening in parasternal short axis view under color doppler

Sutter’s CPMC Davies Campus Recognized Among U.S. News & World Report’s 2026 Best Nursing Homes/Skilled Nursing for Short-Term Rehabilitation

A female physical therapist works with a male patient

Sutter Hospitals Honored by Leapfrog for Safe Patient Care

Show More Stories

Health Topics

  • Bone, Joint & Spine
  • Brain & Neurology
  • Cancer Care
  • COVID-19
  • Diet & Fitness
  • Heart & Vascular
  • Kidney & Urinary
  • Mental Health & Addiction
  • Pregnancy & Childbirth
  • Primary Care
  • Pulmonary & Lung Health
  • Wellness & Integrative Health

Contact Us

ADA Accessibility

Privacy Policy

Cookie Settings

Do Not Sell My Personal Information

  • Follow
  • Follow
  • Follow
  • Follow